



As skilled and experienced providers of care, we combine the art and science of dentistry to transform less-than-perfect smiles into ones that are vibrant and beautiful! We offer personalized solutions to help every patient enjoy the benefits of an attractive and healthy smile.


At Maspeth Dental - HL, our multispecialty dental team is committed to providing advanced and compassionate care. With an experienced general cosmetic dentist and a board certified periodontist dedicated to excellence, you can rest assured your family's smiles are in the best of hands.
Our fantastic team is dedicated to providing outstanding service and first-class care. We love getting to know our patients and seeing their amazing smiles following treatment. Each member of our team takes pride in the positive role they play in our patients’ lives.
Our office is open Monday through Thursday from 8:00 am to 5:00 pm. We are also open for emergency treatment Fridays, Saturdays, and Sundays.
We accept most dental insurance plans. Please contact our office to verify that we accept your specific plan.
We recommend that patients come in for a dental check-up and cleaning every six months.
You can call our office or use our online scheduling system to make an appointment. If you reach out on our website, someone will reach out with a phone call as soon as possible.
The cost of a dental exam may vary depending on your insurance coverage and the specific services you need. Please contact our office for more information.
The process for getting dental implants typically involves a consultation, a dental implant placement procedure, and a follow-up appointment to place the dental crown or bridge. We offer free implant consultations, with a board-certified periodontist in-house. Contact us today for more details.
If you have a dental emergency, please call our office immediately. We offer emergency appointments to help patients get the care they need.
In the event of an emergency, please call the office and leave a detailed message, or reach out to us on our emergency phone number which is listed at the end of our office voicemail. Our dentist will get back to you ASAP to ensure that your emergency is taken care of.
We recommend brushing your teeth twice a day, flossing daily, eating a healthy diet, and coming in for regular dental check-ups and cleanings.
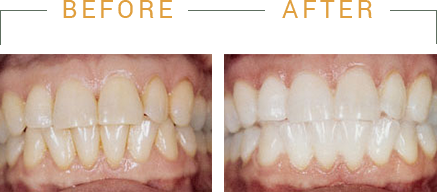
Yes, we offer a range of cosmetic dentistry services, including teeth whitening (ZOOM), veneers, and Invisalign.
Our dental practice is staffed with licensed dentists and dental hygienists who have received the necessary education and training to provide high-quality dental care. We have a board-certified periodontist on staff as well.
The cost of dental treatment varies depending on the specific services you need. We will provide you with a detailed estimate before beginning any treatment.
Yes, we offer financing options to help patients afford the dental care they need. CareCredit is offered for those in need. Please contact our office for more information.
The dental implant process can take several months, depending on the patient's individual needs. For a more in-depth look at your personal situation, our board-certified periodontist offers free consultations.
Our office has a very caring demeanor and will work with you through anything you might need to ensure that you feel safe and comfortable with the treatment plan we build for you.
Yes, we offer dental care for patients of all ages, including children.
We recommend replacing your toothbrush every three to four months, or sooner if the bristles are frayed or worn.
Yes, we offer snoring and sleep apnea treatments to help patients get a better night's sleep.
Let us know if you have any dental anxiety, and we will work with you to find a solution that works for you.
This is totally dependent on the treatment! If you come to our office on your first visit as an emergency patient, your appointment will likely be longer than that than of an initial consultation for implants or a standard cleaning. For more details, call us today.
Have a Question? Feel free to give us a call at (718) 513-9711.




