Request Appointment
Safety Procedures
Open Late & Sundays • 24/7 Dental Emergencies
(718) 513-9711
Our Office
66-62 Grand Avenue
Maspeth
,
NY
11378
(718) 513-9711
Visit Us Online
Home
About Us
Meet the Team
Our Office
Dental Insurance Information
COVID-19 Advanced Safety Protocols
New Patients
New Patient Specials
Smile Gallery
Reviews
Patient Education Videos
Our Doctors
Mark D. Lorber, DDS
General Cosmetic Dentist
David J. Lefkowitz, DDS
Board Certified Periodontist
Howard E Lorber, DDS (Retired)
Services
Dental Cleanings
Dental Sealants
Emergency Treatment
Extractions
Night Guards
Oral Exams
Pediatric Dentistry
Preventative Program
Root Canals
Sleep Apnea
Sports Mouthguards
TMJ Disorders
All-on-6®
Dental Bridges
Dental Fillings
Dentures
Full Mouth Reconstruction
Implant Dentistry
Implant Restorations
Implant-Supported Dentures
Inlays & Onlays
Arestin®
Bone Grafting
Periodontal Surgery
Periodontal Treatment
Ceramic Crowns
Cosmetic Dentistry
Smile Makeover
Teeth Whitening
Veneers
Digital Radiography
ViziLite®
ClearCorrect®
Invisalign®
Dental Health
Contact Us
Contact
Request Appointment
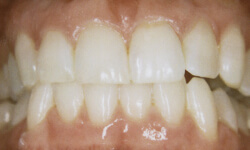
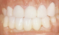
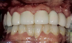
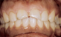
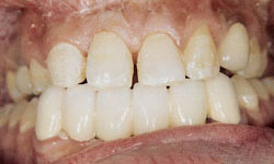
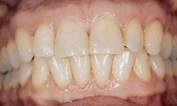
Dentistry Before and After Photos
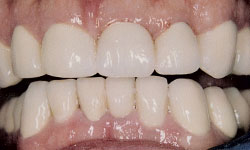
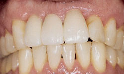
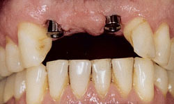
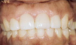
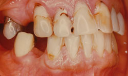
Before
After
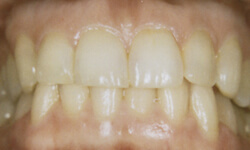
Before
After
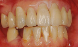
Before
After
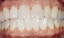
Before
After
Before
After
Before
After
Before
After
Before
After
Before
After
Before
After
Our Office
66-62 Grand Avenue
Maspeth
,
NY
11378
(718) 513-9711
Visit Us Online
(718) 513-9711
© 2026 Maspeth Dental - HL. All Rights Reserved. |
Accessibility Policy
Dentist Website Design